About KSAR
A Message from the KSAR President
KSAR Mission
KSAR Annual Meeting
For more informaion on the KSAR
Quiz of the Week
KSAR
About KSAR
A Message from the KSAR President
KSAR Mission
KSAR Annual Meeting
For more informaion on the KSAR
Quiz of the Week
Quiz of the Week
| Quiz of the Week
Home > KSAR >
Quiz of the Week
[Total Cases: 731 ]
Case
Cases No
Sex / Age
Chief complaint
Subspecialty
Author
Hospital
Hit
Case
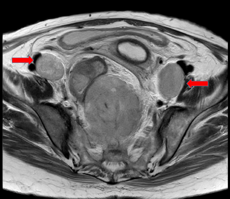
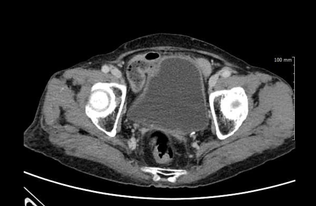
No.731
F / 76
Pelvic mass
ABDOMEN
Áß¾Ó´ëÇб³º´¿ø ±èÀÎÈÄ
CASE 2
123
Case
No.730
F / 75
Abnormal findings on screening endoscopy
ABDOMEN
Áß¾Ó´ëÇб³º´¿ø ±èÀÎÈÄ
CASE 1
123
Case
No.729
F / 24
Abnormal lab finding in Routine follow up
ABDOMEN
¼¿ï¾Æ»êº´¿ø Á¤¿ëÁØ
CASE 2
125
Case
No.728
M / 72
Heavy alcoholics, work up for liver tran...
ABDOMEN
¼¿ï¾Æ»êº´¿ø Á¤¿ëÁØ
CASE 1
121
Case
No.727
F / 52
Abdominal pain
ABDOMEN
ºÐ´ç¼¿ï´ëÇб³º´¿ø ±Çöȣ
CASE 2
123
Case
No.726
F / 28
liver nodule detected on a screening test
ABDOMEN
ºÐ´ç¼¿ï´ëÇб³º´¿ø ±Çöȣ
CASE 1
122
Case
No.725
M / 68
Abnormal finding on AP-CT
ABDOMEN
»ï¼º¼¿ïº´¿ø ¹ÚÁö¿¬
CASE 2
122
Case
No.724
F / 48
Abnormal finding on AP CT
ABDOMEN
»ï¼º¼¿ïº´¿ø ¹ÚÁö¿¬
CASE 1
123
Case
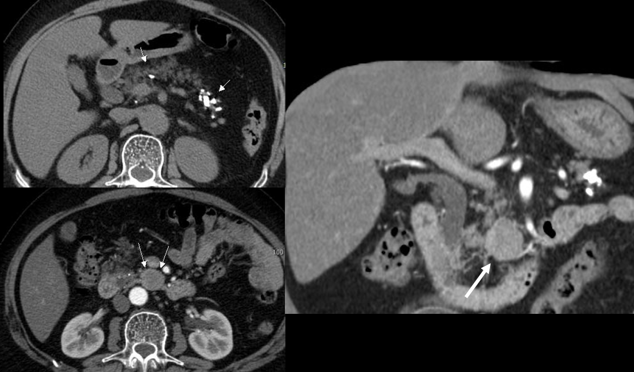
No.723
M / 58
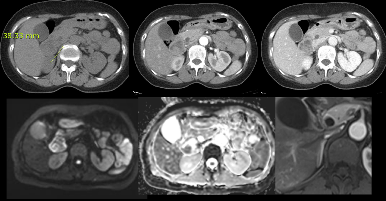
Peripancreatic mass
ABDOMEN
±¹¸³¾Ï¼¾ÅÍ À̹ÎÈñ
CASE2
124
Case
No.722
M / 61
RV wall mass
ABDOMEN
±¹¸³¾Ï¼¾ÅÍ À̹ÎÈñ
CASE1
123
Case
No.721
F / 66
Growing splenic mass
ABDOMEN
¼¿ï¼º¸ðº´¿ø ±èÀ¯¼±
CASE2
121
Case
No.720
M / 47
Recurrent fever and abdominal pain.
ABDOMEN
¼¿ï¼º¸ðº´¿ø ±èÀ¯¼±
CASE1
121
Case
No.719
F / 55
Abnormal CT findings of the liver
ABDOMEN
½ÅÃ̼¼ºê¶õ½ºº´¿ø ¹ÚÁØ
CASE2
122
Case
No.718
M / 61
Incidentally found hepatic mass by US sc...
ABDOMEN
½ÅÃ̼¼ºê¶õ½ºº´¿ø ¹ÚÁØ
CASE1
122
Case
No.717
M / 29
Weight loss
ABDOMEN
¼¿ï´ëÇб³º´¿ø Á¶°æ´ö
CASE2
122
Case
No.716
M / 68
regular US follow-up for pancreatic head...
ABDOMEN
¼¿ï´ëÇб³º´¿ø Á¶°æ´ö
CASE1
121
Case
No.715
F / 60
Hematochezia
ABDOMEN
ÀüºÏ´ëÇб³º´¿ø Á¶Çü·û
CASE2
124
Case
No.714
F / 65
Incidental finding in abdomen CT
ABDOMEN
ÀüºÏ´ëÇб³º´¿ø Á¶Çü·û
CASE1
121
Case
No.713
M / 65
Radiologic abnormality
ABDOMEN
Ãæ³²´ëÇб³º´¿ø ¾È¿ì±Ù
CASE2
122
Case
No.712
M / 59
Radiologic abnormality
ABDOMEN
Ãæ³²´ëÇб³º´¿ø ¾È¿ì±Ù
CASE1
123
Period
~
Subspecialty
All Subspecialty
ABDOMEN
====================
Abdomen general
Abdomen vessel
GI tract general
Esophagus
Stomach
Small bowel
Colon Rectum
Hepatobiliary
Pancreas
Spleen
Peritoneum mesentery
Retroperitoneum
Peritoneal space
Abdomen other
Classification
All Classification
disease type
Normal & Variation
Congenital Anormaly
Degenerative disease
Infection, Inflammation
Neoplasm, benign
Neoplasm, Malignancy
Obstructive disease
Stone, Calcifcation
Connective tissue disorder
systemic disease
Trauma
Vascular disease
Complication
Other
disease classification
Degree of difficulty
All Difficulty
For student
For resident
For specialist
Image modality
All Modalities
Simple Film
US
CT
MR
Angiography
RI
Etc
Search Option
Diagnosis
Keywords
Comments
Chief complaint or Title
Hospitals
Search Text
103-1103, TheSharp Seocho, 21, Seochojungang-ro 2-gil, Seocho-gu, Seoul, Republic of Korea. Postal code: 06720 Tel: +82-2-3474-1983 E-mail: office@ksar.kr
Copyright © 2000 by The Korean Society of Abdominal Radiology. All Rights Reserved.