|
JOIN
|
ÇÐȸ¼Ò°³
Àλ縻
¿ª´ëÀÓ¿øÁø
¿¬Çõ
ȸĢ
ÀÓ¿ø ¹× À§¿øÈ¸
ȸ¿ø°¡ÀԾȳ»
ÇмúÇà»ç
Á¤±âÇмú´ëȸ
ÁÖ¿äÇà»çÀÏÁ¤
±¹³»¿Ü Çà»çÀÏÁ¤
ÇмúÀÚ·á
¿ù·ÊÁý´ãȸ
Imaging Conference
»çÀ̹ö °ÁÂ
ÇÐȸÁö
´ëÇѺ¹ºÎ¿µ»óÀÇÇÐȸÁö
ÀüÀÚ³í¹®Åõ°í
ÄûÁî
Bi-Weekly Quiz
List of the Quiz
¿ª´ë ÄûÁî»ó ¼ö»óÀÚ
ȸ¿ø¸¶´ç
°øÁö»çÇ×
ȸ¿øµ¿Á¤
´º½º·¹ÅÍ
¿ª´ë ¼ö»óÀÚ
ÀÚÀ¯°Ô½ÃÆÇ
Æ÷Åä°¶·¯¸®
ȸ¿ø°Ë»ö
°ü·Ã»çÀÌÆ®
±¹³»´ëÇк´¿ø
Àǰú´ëÇÐ
ÀÇÇаü·ÃÇÐȸ
¿µ»óÀÇÇÐȸ »êÇÏÇÐȸ
±âŸ LINK
Quiz
Bi-Weekly Quiz
List of the Quiz
¿ª´ë ÄûÁî»ó ¼ö»óÀÚ
List of the Quiz
| List of the Quiz
Home > Quiz >
List of the Quiz
[Total Cases: 394 ]
Case
Cases No
Sex / Age
Chief complaint
Subspecialty
Author
Hospital
Hit
Date
Case
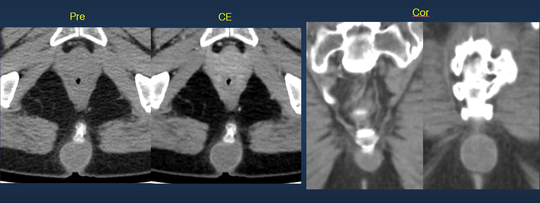
No.394
F / 65
incidental mass
ABDOMEN
Shin Yong Moon
Asan Medical Ce...
401
2026-03-01
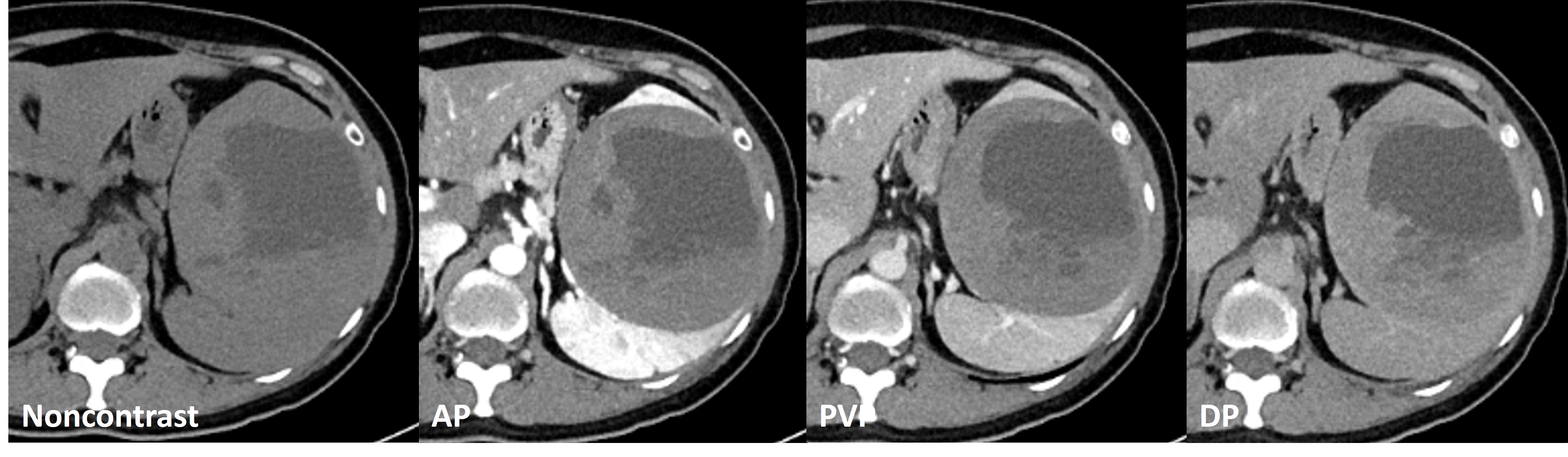
Case
No.393
M / 54
54/M An incidentally detected duodenal ...
ABDOMEN
So Hyun Park
Seoul National ...
574
2026-02-18
Case
No.392
F / 35
Palpable retrococcygeal lesion
ABDOMEN
Sunyoung Lee
Severance Hospi...
742
2026-01-31
Case
No.391
M / 64
A slowly growing mass-like lesion
ABDOMEN
Tae Wook Kang
Sungkyunkwan Un...
944
2026-01-14
Case
No.390
F / 50
hematemesis
ABDOMEN
Soo Jin Kim
National Cancer...
939
2026-01-01
Case
No.389
M / 75
abdominal/back pain
ABDOMEN
Yedaun Lee
Haeundae Paik h...
1089
2025-12-15
Case
No.388
M / 53
projectile vomiting, abdominal pain
ABDOMEN
Jongmee Lee
Korea Universit...
902
2025-12-01
Case
No.387
M / 57
Abdominal discomfort
ABDOMEN
Ji Eun Lee
Soonchunhyang U...
1260
2025-11-13
Case
No.386
F / 46
Incidentally found splenic lesion
ABDOMEN
Sunyoung Lee
Severence Hospital
1301
2025-11-01
Case
No.385
F / 72
hematochezia
ABDOMEN
Myung-won You
Severance Hospital
2262
2025-10-14
Case
No.384
/ 58
incidental mass
ABDOMEN
Shin Yong Moon
Asan Medical Ce...
1691
2025-10-01
Case
No.383
M / 31
abdominal pain
ABDOMEN
So Hyun Park
Seoul National ...
1127
2025-09-18
Case
No.382
M / 72
Anal discharge
ABDOMEN
Youe Ree Kim
Wonkwang Univer...
1399
2025-08-31
Case
No.381
/
postop. abdominal pain
ABDOMEN
Soo Jin Kim
National Cancer...
1915
2025-08-18
Case
No.380
M / 65
Fever, cough
ABDOMEN
Min-Jeong Kim
Hallym Universi...
2500
2025-08-01
Case
No.379
F / 36
Incidental finding
ABDOMEN
Heejin Kwon
Dong-A Universi...
1848
2025-07-16
Case
No.378
F / 36
Palpable abdominal mass
ABDOMEN
Tae Wook Kang
Sungkyunkwan Un...
1758
2025-07-01
Case
No.377
F / 70
Abdominal pain
ABDOMEN
Ji Eun Lee
Soonchunhyang U...
1617
2025-06-13
Case
No.376
M / 30
Incidentally found pancreatic lesion
ABDOMEN
Sunyoung Lee
Severence Hospital
2028
2025-05-31
Case
No.375
M / 81
Incidental finding
ABDOMEN
À¯¸í¿ø
Severance Hospital
1924
2025-05-15
Period
~
Subspecialty
All Subspecialty
ABDOMEN
====================
Abdomen general
Abdomen vessel
GI tract general
Esophagus
Stomach
Small bowel
Colon Rectum
Hepatobiliary
Pancreas
Spleen
Peritoneum mesentery
Retroperitoneum
Peritoneal space
Abdomen other
Classification
All Classification
disease type
Normal & Variation
Congenital Anormaly
Degenerative disease
Infection, Inflammation
Neoplasm, benign
Neoplasm, Malignancy
Obstructive disease
Stone, Calcifcation
Connective tissue disorder
systemic disease
Trauma
Vascular disease
Complication
Other
disease classification
Degree of difficulty
All Difficulty
For student
For resident
For specialist
Image modality
All Modalities
Simple Film
US
CT
MR
Angiography
RI
Etc
Search Option
Diagnosis
Keywords
Comments
Chief complaint or Title
Hospitals
Search Text
´ëÇѺ¹ºÎ¿µ»óÀÇÇÐȸ(´ëÇ¥: ÀÌâÈñ) »ç¾÷ÀÚµî·Ï¹øÈ£: 121-82-71389 Tel: 02-3474-1983
¼¿ï½Ã ¼Ãʱ¸ ¼ÃÊÁß¾Ó·Î 2±æ 21 ´õ¼¥¼ÃÊ 103µ¿ 1103È£ e-mail:
office@ksar.kr
Copyright ¨Ï 2000 by The Korean Society of Abdominal Radiology. All Rights Reserved.