|
JOIN
|
ÇÐȸ¼Ò°³
Àλ縻
¿ª´ëÀÓ¿øÁø
¿¬Çõ
ȸĢ
ÀÓ¿ø ¹× À§¿øÈ¸
ȸ¿ø°¡ÀԾȳ»
ÇмúÇà»ç
Á¤±âÇмú´ëȸ
ÁÖ¿äÇà»çÀÏÁ¤
±¹³»¿Ü Çà»çÀÏÁ¤
ÇмúÀÚ·á
¿ù·ÊÁý´ãȸ
Imaging Conference
»çÀ̹ö °ÁÂ
ÇÐȸÁö
´ëÇѺ¹ºÎ¿µ»óÀÇÇÐȸÁö
ÀüÀÚ³í¹®Åõ°í
ÄûÁî
Bi-Weekly Quiz
List of the Quiz
¿ª´ë ÄûÁî»ó ¼ö»óÀÚ
ȸ¿ø¸¶´ç
°øÁö»çÇ×
ȸ¿øµ¿Á¤
´º½º·¹ÅÍ
¿ª´ë ¼ö»óÀÚ
ÀÚÀ¯°Ô½ÃÆÇ
Æ÷Åä°¶·¯¸®
ȸ¿ø°Ë»ö
°ü·Ã»çÀÌÆ®
±¹³»´ëÇк´¿ø
Àǰú´ëÇÐ
ÀÇÇаü·ÃÇÐȸ
¿µ»óÀÇÇÐȸ »êÇÏÇÐȸ
±âŸ LINK
Quiz
Bi-Weekly Quiz
List of the Quiz
¿ª´ë ÄûÁî»ó ¼ö»óÀÚ
List of the Quiz
| List of the Quiz
Home > Quiz >
List of the Quiz
Áö³ ¿ù·ÊÁý´ãȸ ÀÚ·á º¸±â
[Total Cases: 731 ]
Case
Cases No
Sex / Age
Chief complaint
Subspecialty
Author
Hospital
Hit
Date
Case
No.731
F / 76
Pelvic mass
ABDOMEN
Áß¾Ó´ëÇб³º´¿ø ±èÀÎÈÄ
CASE 2
9
2026-04-11
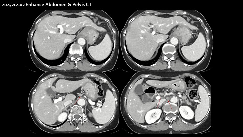
Case
No.730
F / 75
Abnormal findings on screening endoscopy
ABDOMEN
Áß¾Ó´ëÇб³º´¿ø ±èÀÎÈÄ
CASE 1
5
2026-04-11
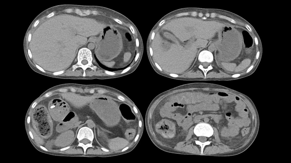
Case
No.729
F / 24
Abnormal lab finding in Routine follow up
ABDOMEN
¼¿ï¾Æ»êº´¿ø Á¤¿ëÁØ
CASE 2
6
2026-04-11
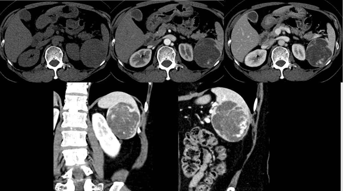
Case
No.728
M / 72
Heavy alcoholics, work up for liver tran...
ABDOMEN
¼¿ï¾Æ»êº´¿ø Á¤¿ëÁØ
CASE 1
5
2026-04-11
Case
No.727
F / 52
Abdominal pain
ABDOMEN
ºÐ´ç¼¿ï´ëÇб³º´¿ø ±Çöȣ
CASE 2
3
2026-04-11
Case
No.726
F / 28
liver nodule detected on a screening test
ABDOMEN
ºÐ´ç¼¿ï´ëÇб³º´¿ø ±Çöȣ
CASE 1
1
2026-04-11
Case
No.725
M / 68
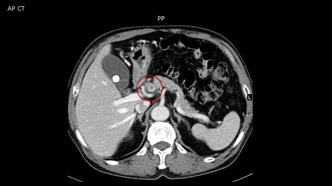
Abnormal finding on AP-CT
ABDOMEN
»ï¼º¼¿ïº´¿ø ¹ÚÁö¿¬
CASE 2
5
2026-04-11
Case
No.724
F / 48
Abnormal finding on AP CT
ABDOMEN
»ï¼º¼¿ïº´¿ø ¹ÚÁö¿¬
CASE 1
2
2026-04-11
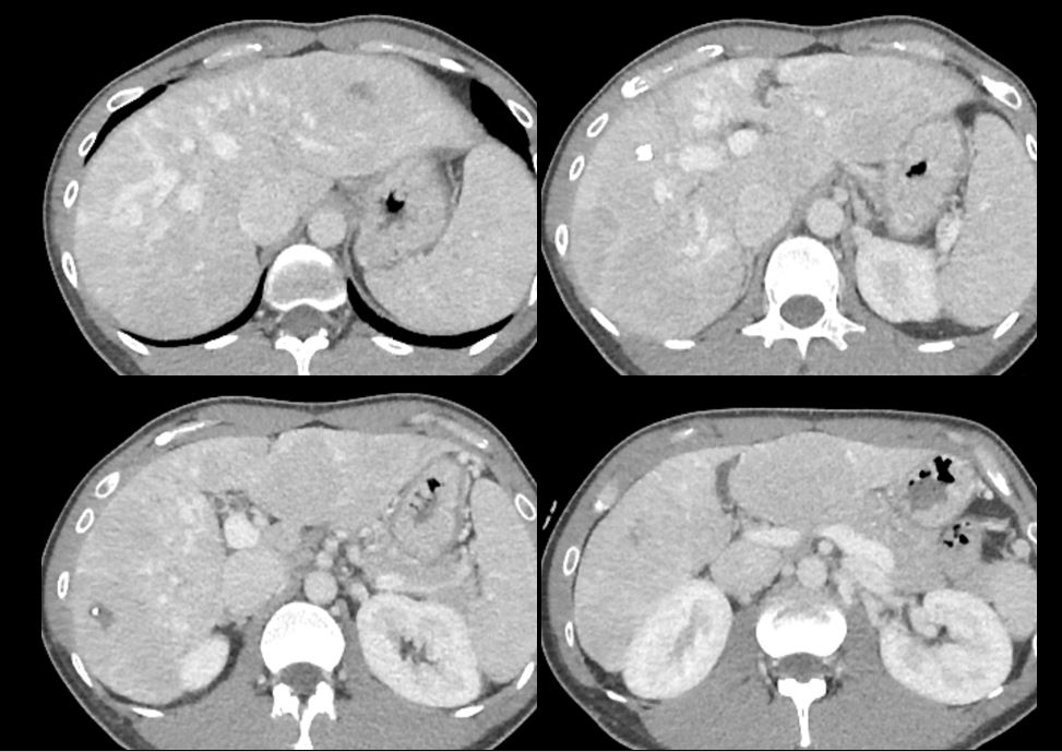
Case
No.723
M / 58
Peripancreatic mass
ABDOMEN
±¹¸³¾Ï¼¾ÅÍ À̹ÎÈñ
CASE2
27
2026-02-26
Case
No.722
M / 61
RV wall mass
ABDOMEN
±¹¸³¾Ï¼¾ÅÍ À̹ÎÈñ
CASE1
15
2026-02-26
Case
No.721
F / 66
Growing splenic mass
ABDOMEN
¼¿ï¼º¸ðº´¿ø ±èÀ¯¼±
CASE2
18
2026-02-26
Case
No.720
M / 47
Recurrent fever and abdominal pain.
ABDOMEN
¼¿ï¼º¸ðº´¿ø ±èÀ¯¼±
CASE1
14
2026-02-26
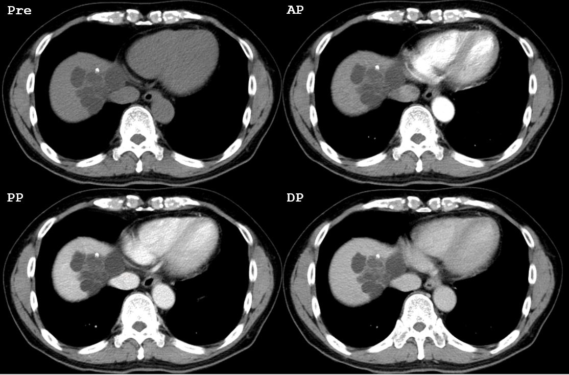
Case
No.719
F / 55
Abnormal CT findings of the liver
ABDOMEN
½ÅÃ̼¼ºê¶õ½ºº´¿ø ¹ÚÁØ
CASE2
20
2026-02-26
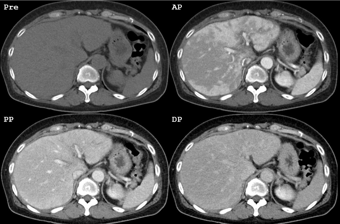
Case
No.718
M / 61
Incidentally found hepatic mass by US sc...
ABDOMEN
½ÅÃ̼¼ºê¶õ½ºº´¿ø ¹ÚÁØ
CASE1
33
2026-02-26
Case
No.717
M / 29
Weight loss
ABDOMEN
¼¿ï´ëÇб³º´¿ø Á¶°æ´ö
CASE2
15
2026-02-26
Case
No.716
M / 68
regular US follow-up for pancreatic head...
ABDOMEN
¼¿ï´ëÇб³º´¿ø Á¶°æ´ö
CASE1
10
2026-02-26
Case
No.715
F / 60
Hematochezia
ABDOMEN
ÀüºÏ´ëÇб³º´¿ø Á¶Çü·û
CASE2
33
2026-01-13
Case
No.714
F / 65
Incidental finding in abdomen CT
ABDOMEN
ÀüºÏ´ëÇб³º´¿ø Á¶Çü·û
CASE1
24
2026-01-13
Case
No.713
M / 65
Radiologic abnormality
ABDOMEN
Ãæ³²´ëÇб³º´¿ø ¾È¿ì±Ù
CASE2
26
2026-01-13
Case
No.712
M / 59
Radiologic abnormality
ABDOMEN
Ãæ³²´ëÇб³º´¿ø ¾È¿ì±Ù
CASE1
21
2026-01-13
Period
~
Subspecialty
All Subspecialty
ABDOMEN
====================
Abdomen general
Abdomen vessel
GI tract general
Esophagus
Stomach
Small bowel
Colon Rectum
Hepatobiliary
Pancreas
Spleen
Peritoneum mesentery
Retroperitoneum
Peritoneal space
Abdomen other
Classification
All Classification
disease type
Normal & Variation
Congenital Anormaly
Degenerative disease
Infection, Inflammation
Neoplasm, benign
Neoplasm, Malignancy
Obstructive disease
Stone, Calcifcation
Connective tissue disorder
systemic disease
Trauma
Vascular disease
Complication
Other
disease classification
Degree of difficulty
All Difficulty
For student
For resident
For specialist
Image modality
All Modalities
Simple Film
US
CT
MR
Angiography
RI
Etc
Search Option
Diagnosis
Keywords
Comments
Chief complaint or Title
Hospitals
Search Text
´ëÇѺ¹ºÎ¿µ»óÀÇÇÐȸ(´ëÇ¥: ±èÁ¤ÈÆ) »ç¾÷ÀÚµî·Ï¹øÈ£: 121-82-71389 Tel: 02-3474-1983
¼¿ï½Ã ¼Ãʱ¸ ¼ÃÊÁß¾Ó·Î 2±æ 21 ´õ¼¥¼ÃÊ 103µ¿ 1103È£ e-mail:
office@ksar.kr
Copyright ¨Ï 2000 by The Korean Society of Abdominal Radiology. All Rights Reserved.